A 14-year old male complained to his parents of feeling quite ill with...

Acute Bacterial Meningitis Case Study
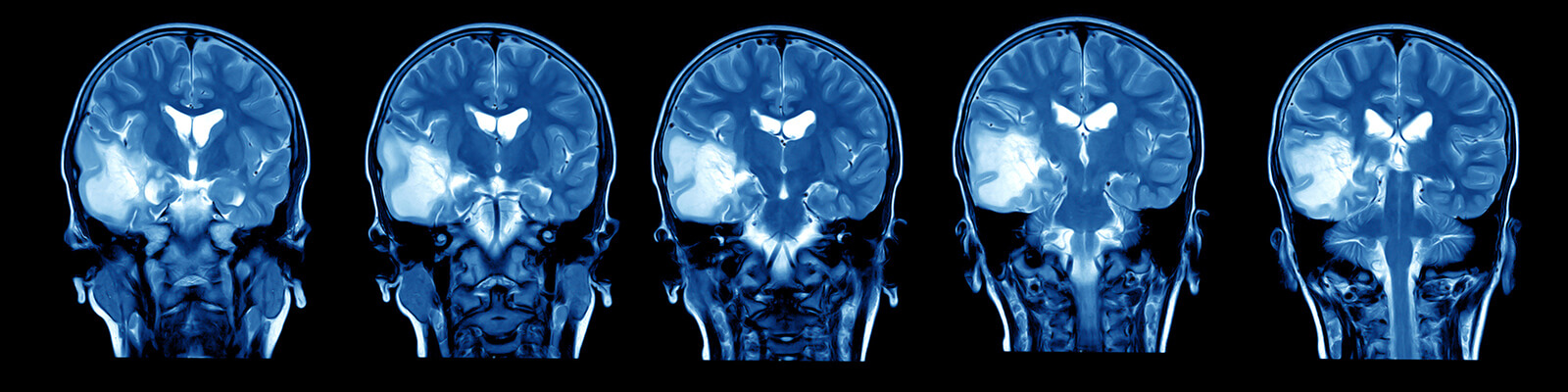
Bacterial meningitis is a life-threatening infection of the linings or meninges of the brain and spinal cord. Survivors may experience hearing loss or deafness, brain damage, seizures, and/or the retention of fluid on the brain. Symptoms may be mistaken for the flu. Find out what happens to a 14-year-old when bacteria invade his central nervous system.
Module 4: Meningitits
Once the patient had been admitted to the hospital's critical care unit...
