
Initial chest x-ray
After examining the chest x-rays, the radiologist reported a right, upper lobe infiltrate.
Instructor's notes:
The infiltrate is the hazy area in the upper right quadrant.

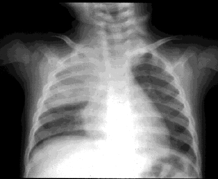
Initial chest x-ray
After examining the chest x-rays, the radiologist reported a right, upper lobe infiltrate.
Instructor's notes:
The infiltrate is the hazy area in the upper right quadrant.