Anemia
A decrease in the number of red blood cells or hemoglobin in the blood. This leads to a decrease in the amount of oxygen getting to the cells. Symptoms include fatigue and pallor.
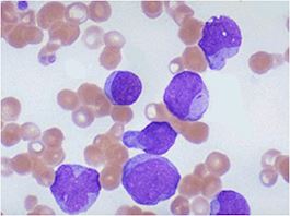
Blasts
Immature blood cells usually found only in the bone marrow.
![]()
In leukemias, precursor cells such as blasts are often found in the peripheral blood. It is important to differentiate these cells to help determine the type of leukemia and treatment. Most of the time the blast type can be accurately predicted based on morphology alone. The key features are the chromatin pattern and the character of the cytoplasm. Lymphoblasts and myeloblasts generally have round to oval nuclei with nucleoli; however, the chromatin of lymphoblasts is coarse with a tendency to aggregate into masses. In contrast, myeloblasts have fine, delicate chromatin.
Blood-brain barrier
Special characteristics of the capillary walls of the brain that prevent potentially harmful substances from moving out of the bloodstream into the brain or cerebrospinal fluid.
Demyelination
The removal or destruction of the healthy myelin sheath surrounding nerve tissue.
Direct Antigen Test
The direct antigen test uses immunologic laboratory procedures to detect the presence of an antigen (in this case a specific component of the bacterial cell), in the spinal fluid of the patient. This test method has several advantages: One, it is generally very specific as to the type of organism present. Two, it is rapid and greatly assists the physician in making a diagnosis, and hence prescribing the correct therapy. For a more detailed explanation, click here.
Diuresis
Secretion and passage of large amounts of urine.
Dyspnea
Difficult or labored breathing.
Edema
Swelling caused by fluid retention in the tissues of the body
Endemic (as applied to diseases)
As it refers to microbiological diseases, when an organism persists in a large population in a subclinical (asymptomatic) state, it is said to be endemic to that area. As with hepatitis A, regions where food and drink may be contaminated with human feces, large numbers of people have a high potential for exposure. Some will develop symptoms and some will be carriers without symptoms.
Exacerbation
An increase in the severity of a disease. An increase in the signs and symptoms of a disease. In asthma, an exacerbation is an asthma attack.
Hemarthrosis
Blood that has accumulated inside a joint due to hemorrhage from injury.
Hemorrhage
Severe bleeding, either internally or externally.
Hemostasis
A process whereby bleeding is stopped
Hypercellularity
An increased number of cells in any location but especially in the bone marrow.
Hypervolemia
An abnormal increase in the volume of circulating blood.
Immunocompromised
An immune system unable to respond to pathogens or tissue damage. This may be due to disease, immunosuppressive drugs, or a genetic disorder.
Infectious Disease
Although many complex factors surround the definition of infectious disease, some generalizations can be made. An infection can be defined as a state in which microorganisms, bacteria, viruses, fungi and parasites, survive and reproduce in the host's tissues. In many instances no noticeable changes (or symptoms) are apparent. When the organism produces sufficient tissue damage through many different mechanisms, the definition of infectious disease then applies. As in hepatitis, liver cells are invaded and damaged by the virus. Symptoms then result and the cause can be determined through clinical examination and laboratory tests.
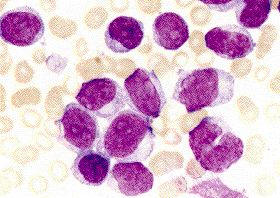
Lymphoblasts
Immature lymphocytes usually found only in the bone marrow.
![]()
Meninges
The three membranes that cover the brain and spinal cord. The membranes consist of the dura mater (external), arachnoid (middle), and pia mater (internal).
Click to Enlarge
Knee flexion (flekshun)
The act of bending the knee, in contrast to the act of extending the knee.
Orchiopexy
Surgical fixation of a testicle, usually to move an undescended testicle into the scrotum.
Organomegaly
The enlargement of visceral organs.
Parenchyma
The functional tissue of an organ
Platelets
Small, round to oval discs (2-4 um) found in the blood. Platelets respond to injuries to the vessel wall by adhering to the injured site and forming a plug. This platelet plug initiates the clotting process which forms a fibrin clot.
Pneumonia
An infection that occurs when fluid and cells collect in the lungs. Pneumonia can be caused by bacteria, viruses, and other pathogenic organisms. It can also be caused by chemicals or other irritants.
Pus
A thick whitish-yellow fluid which results from the accumulation of white blood cells (WBCs), liquefied tissue and cellular debris. Pus is commonly a site of infection or foreign material in the body.
Petechiae
Tiny red spots in the skin which do not blanch when pressed upon. They result from red blood leaking from capillaries.
Remission
The disappearance of the signs and symptoms of cancer or other diseases. When this happens, the disease is said to be "in remission." A remission can be temporary or permanent.
Tachypnea
Rapid breathing. 12-20 breaths/minute is normal for an adult. Tachypnea is a faster than normal respiratory rate.
Tachycardia
A heart rate that is faster than normal. Generally, a heart rate greater than 100 beats per minute is considered as tachycardia.
Thrombocytopenia
A decrease in the number of thrombocytes (platelets) in the blood which may lead to bleeding, bruising, and decreased clotting time.
Urine Clearance Test
In basic terms, clearance tests measure the overall effectiveness of the collective efforts of the kidney to excrete waste products. Several substances such as creatinine and a sugar polymer called insulin can be used to measure the kidney's clearance capacity. The test measures the volume of plasma that is cleared of the test substance per unit of time, usually in milliliters per minute over a 24 hour period. In this patient's case, the test will be performed at least twice: the first at the beginning of her hospital stay as a baseline. Then again in the recovery period to give the nephrologist evidence the kidneys are regaining their normal functional duties.
Upper Lobe Infiltrate
A penetration of infectious material in the superior (upper) division (lobe) of the lung.
Valgus
The distal position of a body part that is bent outward.
Varus
The distal position of a body part that is bent inward.
