Click on an image below to view a full-sized image with details
Bacillus Cereus
Large Gram positive rods, chains
Bacillus Cereus
Bacillus Cereus
Large Gram positive rods, chains
Bacillus Cereus
Bacillus Subtilis
This is typical of Bacillus spp. with large Gram positive rods. Note the size reference in the upper right hand corner with E. coli and Enterococcus Faecalis.
Bacillus Subtilis
Bacillus Cereus
SBA Plate
Note the very dull colony morphology
Bacillus Cereus SBA Plate
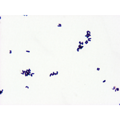
Lactobacillus
Colony Gram stain from an SBA of tiny alpha hemolytic colonies form a vaginal culture
Lactobacillus
Lactobacillus
Lactobacillus
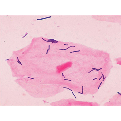
Vaginal Epithelial
Cell with Lactobacillus
Direct Gram stain of a vaginal swab showing a vaginal epithelial cell with Lactobacillus