Click on an image below to view a full-sized image with details
There are aerobic and anaerobic species of diptheroids. Note the Chinese letter / picket fence formation which is very typical of diptheroids
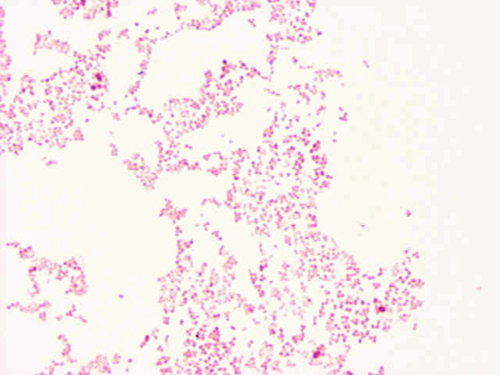
This organism is a large gram positive rod and can form long chains.
This anaerobe is a small pleomorphic Gram negative rod. In the upper right hand corner is E. coli and Enterococcus faecalis for size comparison.
This anaerobe is described as a large gram positive rod with a "box car" shape with square ends.
As this organism gets older, it looses its ability to hold the crystal violet in the peptidoglycan layer and therefore, becomes Gram variable.
Notice spotty uptake of the crystal violet in these cells taken from a very old colony.
This species of Fusobacterium has a long thin tapered rod shape.
Note the chains, which resemble streptococcus spp.
Note the very small gram negative cocci
Note the diphtheroid arrangement (Chinese letter / palisade formation)