Skip to main content
WSU Home
A-Z Index
Calendar
Canvas
Employee Directory
Maps
Online Degrees
Info for
Current Students
Faculty and Staff
Alumni
Visitors
Weather Status
eWeber
My profile
A
B
C
D
E
F
G
H
I
J
K
L
M
N
O
P
Q
R
S
T
U
V
W
X
Y
Z
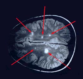
MRI Results
Cerebral Hemisphere
Spinal Cord
Arrows point to plaques or areas of demyelination