
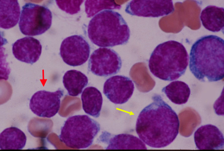
The results of the bone marrow smears showed hypercellularity with sheets of small blasts. These blasts showed a large, regular nucleus and little cytoplasm. There were no visible nucleoli.
Instructor's notes:
Although blasts are commonly seen in a bone marrow smear, all of the different cell lines should be represented. The preponderance of one cell type suggests a leukemia. The yellow arrow points to a lymphoblast with some cytoplasm present; the red arrow points to a lymphoblast with no visible cytoplasm.
