The bone marrow smear showed a normal distribution of myeloid elements
Original Bone Marrow Smear
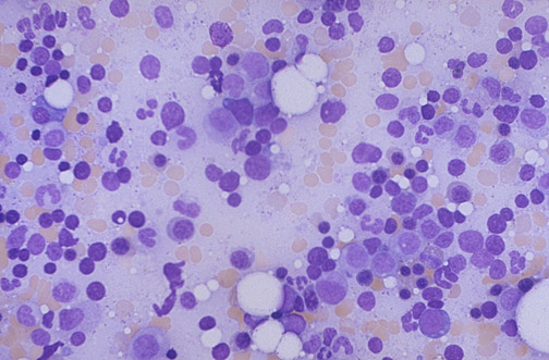
Instructor's Notes:
Compare Noah's original bone marrow smear with this smear taken after remission. Note the representation of different cell lines in this bone marrow compared to the sheets of blasts found in the original bone marrow.
